
UK (Keele University) New report reveals scale of Keele University’s economic contribution to region
A new report has revealed that Keele University contributes around half a billion pounds each

A new report has revealed that Keele University contributes around half a billion pounds each

Midlands Mindforge, an investment company of which Keele University is a member, has announced Dr

The University of York held its first ever entrepreneur exchange in Greece – helping three

The University of York has marked the launch of a new government framework aimed at

The expertise of more than 100 supervisors from major industries including GSK, Unilever, the BBC,

A rescued population of endangered white clawed crayfish that were in danger of being wiped

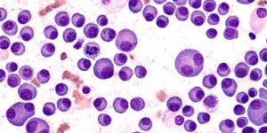
Combining five existing drugs can keep a highly aggressive type of bone marrow cancer at

Europe’s largest Medieval celebration is taking place in Leeds with over 2,500 enthusiasts from 60

Dr Kirby Swatek, from the Medical Research Council Protein Phosphorylation and Ubiquitylation Unit (MRC-PPU) in the School of

Statins are a commonly used medication for heart disease, but many individuals experience side-effects such

The Binks Sustainability Institute has been established with the aid of a substantial donation from

The University’s Art Collection has been awarded Accredited Museum status by Arts Council England. The

New research by the University of Hertfordshire has discovered that a major UK charity’s work

The University of Hertfordshire generated £730m for the UK economy in 2021, a new report
The University of Hertfordshire is hosting a free, public art gallery display featuring hundreds of